3d-Röntgen

3D-Röntgen – neu in unserer Praxis in GRAZ

Dr. Martin Smetan

Röntgenbilder sind eine der wichtigsten Informationsquellen eines Zahnarztes. Bisher handelte es sich dabei um ein zweidimensionales Abbild, dank neuester Forschungen können wir heute aber mit dreidimensionalen Darstellungen arbeiten.

Das 3D-Röntgen, alternativ auch als digitale Volumentomografie (DVT) bezeichnet, ist eine Weiterentwicklung der Computertomografie (CT) und bringt unseren Patienten einen entscheidenden Vorteil, denn hierbei kommt lediglich zirka ein Viertel der Strahlendosis einer herkömmlichen Computertomografie zum Einsatz – und diese schonende und innovative Methode der modernsten Zahnmedizin mit vergleichsweiser geringer Strahlenbelastung ist neu in unserer Zahnarztpraxis in Graz!

3D-Röntgen: alles auf einen Blick!

  • Pro Durchlauf wird das gesamte Volumen aufgenommen (im Gegensatz zur „scheibchenweisen“ Computertomografie)

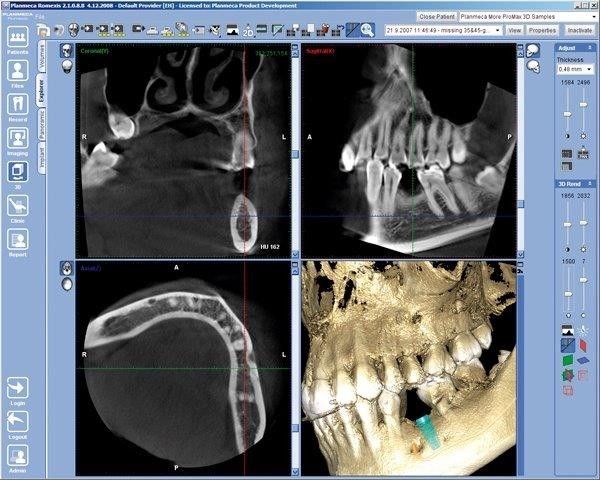
  • Die dabei entstandene Aufnahme – Ihr Kiefer wird dabei räumlich dargestellt – enthält alle Grunddaten, im Anschluss kann diese mit spezieller Software unterschiedlichen Aufbereitungen zugeführt werden.

  • Dank dieser dreidimensionalen Visualisierung eröffnet sich Ihrem Zahnarzt eine bis dato unbekannte Dimension der Diagnostik.

  • Das 3D-Röntgen erfolgt direkt in unserer Praxis.

  • Dieses Verfahren eignet sich insbesondere im Hinblick auf die Schienenplanung für schienengeführte Operationen in unserer Ordination.

3D-Röntgen – zahnmedizinische Innovationen am Puls der Zeit, neu in unserer Zahnarztpraxis in Graz und Hartberg.

Auf den folgenden Fotos sehen Sie 3D-Röntgenbilder: